Зубные коронки
Зубные коронки – эстетическое и функциональное решение для вашей улыбки.
Зубные коронки являются одним из самых распространенных протезных методов, которые мы используем в современной стоматологии для восстановления поврежденных или ослабленных зубов. Они служат для защиты, укрепления и улучшения внешнего вида зуба, который может быть поврежден кариесом, травмой, трещинами или после эндодонтического (лечения корневого канала) вмешательства.
В нашей клинике в Праге мы предоставляем пациентам индивидуальный уход, современные технологии и высококачественные материалы — от металлокерамических до цельнокерамических (циркониевых, Emax) коронок.

Как проходит лечение
Весь процесс установки коронки проходит в несколько этапов:
Первичное обследование — стоматолог тщательно осматривает зубы пациента, проводит диагностику и планирует лечение.
Дентальная гигиена — профессиональная чистка зубов и удаление зубного камня.
Подготовка зуба — при необходимости удаление нерва, лечение корневой системы, обточка зуба до нужной формы.
Оттиски или цифровое сканирование — для точного изготовления коронки в зубной лаборатории.
Правильно, это верный перевод. Если вам нужно что-то еще, не стесняйтесь спрашивать!
Установка коронки — врач проверяет точность посадки, при необходимости вносит коррективы и надежно фиксирует коронку.
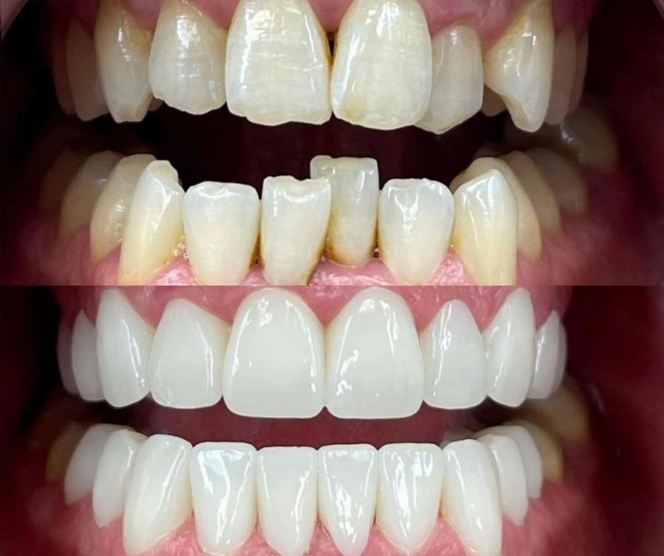
Наша работа — до и после





Преимущества коронок в нашей клинике:
Опытная команда с многолетней практикой в протезировании и стоматологии.
Собственная зубная лаборатория — мы контролируем каждый этап производства.
Короткие сроки изготовления — коронку можно изготовить в течение нескольких дней.
Использование сертифицированных, клинически проверенных материалов.
Эстетическая стоматология высшего уровня — коронка идеально сидит и выглядит естественно.
Если вы ищете зубные коронки в Праге с акцентом на эстетику, функциональность и долгий срок службы, наша команда предложит индивидуальный подход, современные технологии и лучший уход. Запишитесь на первичное обследование и получите улыбку, которая будет выглядеть естественно и служить вам многие годы.
Гарантия
Гарантия качественного и безболезненного лечения
Современное оборудование
Передовое оборудование и качество обслуживания
Комплексный уход
Комплексный уход для наших пациентов
Время работы клиники
Удобный график работы, включая субботу
Договоры
Договоры с медицинскими страховыми компаниями
Зуботехническая лаборатория
Собственная современная зуботехническая лаборатория
Локация
Отличная транспортная доступность
Услуги ресепшена
Приятная и спокойная обстановка
Языки
Мы говорим более чем на пяти языках
Доступность
У нас короткие сроки записи на приём
Наша команда

Олег Ридченко
Главный врач-стоматолог
Принимает пациентов
Smile Centrum Eliška
Smile Centrum Letňany
Smile Centrum Břevnov
Чешский
Английский
Украинский
Русский
Зубные коронки
Зубные мосты
Керамические виниры
Имплантация
Протезирование
Подробнее

Владислав Ридченко
Главный врач-стоматолог
Принимает пациентов
Smile Centrum Eliška
Smile Centrum Břevnov
Чешский
Английский
Украинский
Русский
Зубные коронки
Зубные мосты
Керамические виниры
Стоматохирургия
Имплантация
Протезирование
Подробнее

Ольга Матяш
Главный врач-стоматолог
Принимает пациентов
Smile Centrum Vysočany
Чешский
Английский
Украинский
Русский
Эндодонтия
Зубные коронки
Зубные мосты
Керамические виниры
Лечение кариеса
Профилактика
Имплантация
Протезирование
Первичный осмотр
Подробнее
Типы зубных коронок
Металлокерамические коронки — сочетают прочность металла и эстетику керамики, они устойчивы и имеют доступную цену.
Целлокерамические коронки — циркониевые или Emax, обеспечивают максимальную эстетику, высокую прочность и долгий срок службы.
Временные коронки — защищают зуб в процессе изготовления окончательной реставрации.
Благодаря использованию современных материалов и точной работе наших зубных техников, коронки могут быть подобраны по цвету и форме в соответствии с окружающими зубами, так что они практически не отличимы от естественного зубного ряда.
Запишитесь на приём уже сегодня.
Запишитесь на первичное обследование и узнайте состояние ваших зубов. Наша команда опытных стоматологов поможет составить план для долгосрочного здоровья ваших зубов.
Мы работаем с понедельника по пятницу, а на некоторых филиалах — также в субботу.
Мы готовы помочь как новым, так и текущим пациентам.
Вы можете записаться онлайн или по телефону. В случае неотложных проблем мы также предлагаем экспресс-запись.
Цена зубных коронок
ChatGPT сказал:
Цены начинаются от 9900 Kč в зависимости от типа материала, сложности случая и пожеланий пациента. Точный расчет вы получите после первичного осмотра и консультации.
|
Долговременная временная защитная коронка из PMMA CAD/CAM (без фиксации) — до 3 зубов / 3–6 зубов / 6 и более зубов |
1190 / 1490 / 1890 Kč |
|
Металлокерамическая коронка |
11900 Kč |
|
Цельнокерамическая вкладка/накладка (inlay/onlay/overlay) |
9900 Kč |
|
Цельноанатомическая циркониевая коронка |
11900 Kč |
|
Цельнокерамическая коронка E-max |
13900 Kč |
|
Цельнокерамическая облицованная коронка E-max, цирконий / керамическая облицовка |
15900 Kč |
|
Высокоэстетическая облицованная коронка Essentia / керамическая облицовка |
19000 Kč |
|
Коронка на имплантате — металлокерамическая |
12900 Kč |
|
Коронка на имплантате (E-max Press / цельноанатомический цирконий) |
12900 Kč |
|
Коронка на имплантате — облицованный цирконий |
16900 Kč |
|
Снятие фиксированной ортопедической конструкции — за каждую опорную единицу / разъединение мостовидного протеза |
790 / 1590 Kč |
|
Окклюзионная шина при бруксизме — атравматичная, двухслойная |
2490 Kč |
(*) цена с НДС 21 %
Показания и противопоказания для первичного осмотра
Ваша улыбка — это визитная карточка здоровья и благополучия. В стоматологии важно знать, когда следует обратиться за профессиональной помощью, а когда наоборот, необходимо учитывать потенциальные риски или отложить лечение. Ниже приведён обзор распространённых ситуаций (показаний), когда рекомендуется стоматологическое лечение, а также состояний (противопоказаний), когда следует проявлять осторожность или отложить вмешательство.
Показания (когда коронка является подходящим решением):
4.Перелом коронковой части при сохранённом корне (возможна штифтовая/надстроечная реконструкция).
Противопоказания / когда коронку не выбирают или откладывают:
Важное замечание: Этот список является общим и не заменяет индивидуальную консультацию с вашим стоматологом. Всегда важно сообщать врачу всю вашу анамнез и текущие состояния здоровья, чтобы он мог выбрать наиболее безопасный и эффективный план лечения.
Отзывы пациентов
Зубные коронки часто задаваемые вопросы и ответы
На этой странице стоматологической клиники мы подготовили ответы на самые частые вопросы наших пациентов. Если вы не найдете нужную информацию, не стесняйтесь связаться с нами.
Срок службы зубной коронки зависит от используемого материала, правильной гигиены полости рта и регулярных профилактических осмотров. Цельнокерамические и циркониевые коронки часто служат 10–15 лет, а иногда и дольше. Металлокерамические коронки имеют схожий срок службы.
Важно регулярное чистка зубов — дважды в день, использование межзубных щёток и регулярные посещения стоматолога для гигиенических процедур. Уход за коронкой такой же, как и за собственным зубом — правильная гигиена продлевает её срок службы.
Оценки Smile Centrum
Нас рекомендует 92% наших пациентов, которые оставляют отзывы на независимых порталах и социальных сетях. Клиника не может повлиять на эти отзывы, и поэтому они для нас так ценны.


