Zubní implantáty
Zubní implantáty představují moderní a dlouhodobě ověřené řešení pro náhradu chybějících zubů. V naší zubní klinice Smile Centrum v Praze vám nabízíme zákrok implantace s použitím nejmodernějších technologií a s individuálním přístupem ke každému.
Získejte zpět funkční chrup, možnost jíst bez omezení a krásný úsměv – bez nutnosti zásahu do okolních zubů, jako je tomu u klasických můstků.

Jak probíhá ošetření zubními implantáty v naší ordinaci?
Zubní implantáty představují moderní a trvalé řešení ztráty zubu. Celý proces od úvodní konzultace až po nasazení finální korunky nebo můstku je pečlivě plánovaný a rozdělený do několika fází, aby byl výsledek co nejlepší a nejbezpečnější. Zde je podrobný průběh, který Vás čeká:
Vstupní vyšetření a anamnéza
Rentgenová diagnostika (OPG, CBCT)
Digitální otisky/skenování
Individuální léčebný plán
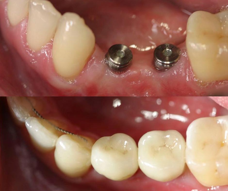
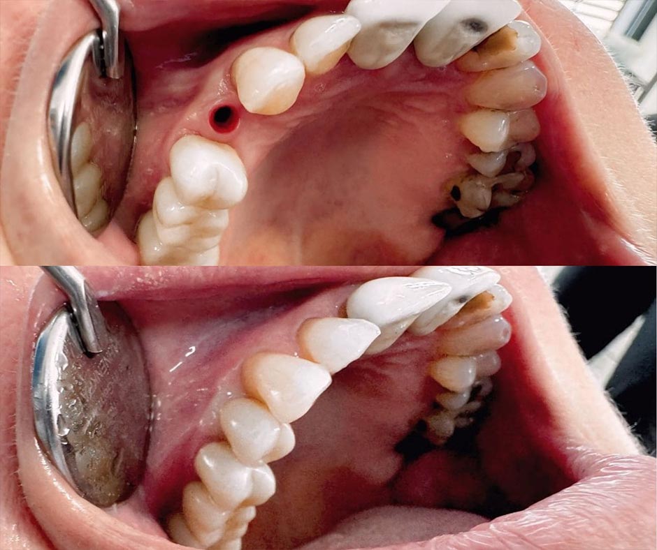
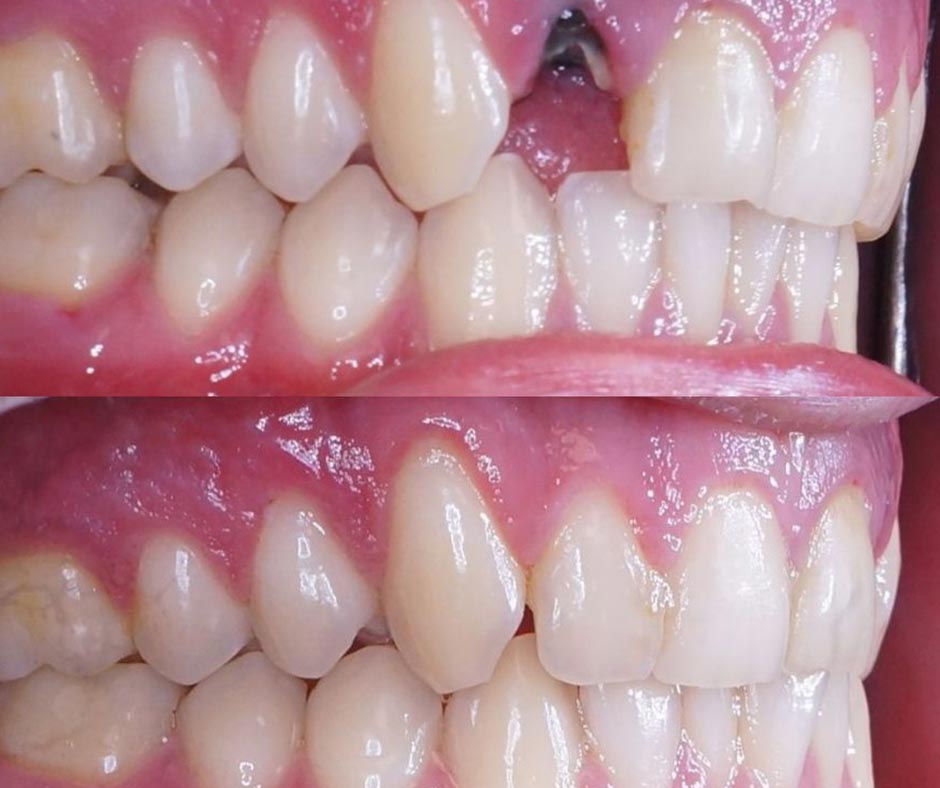
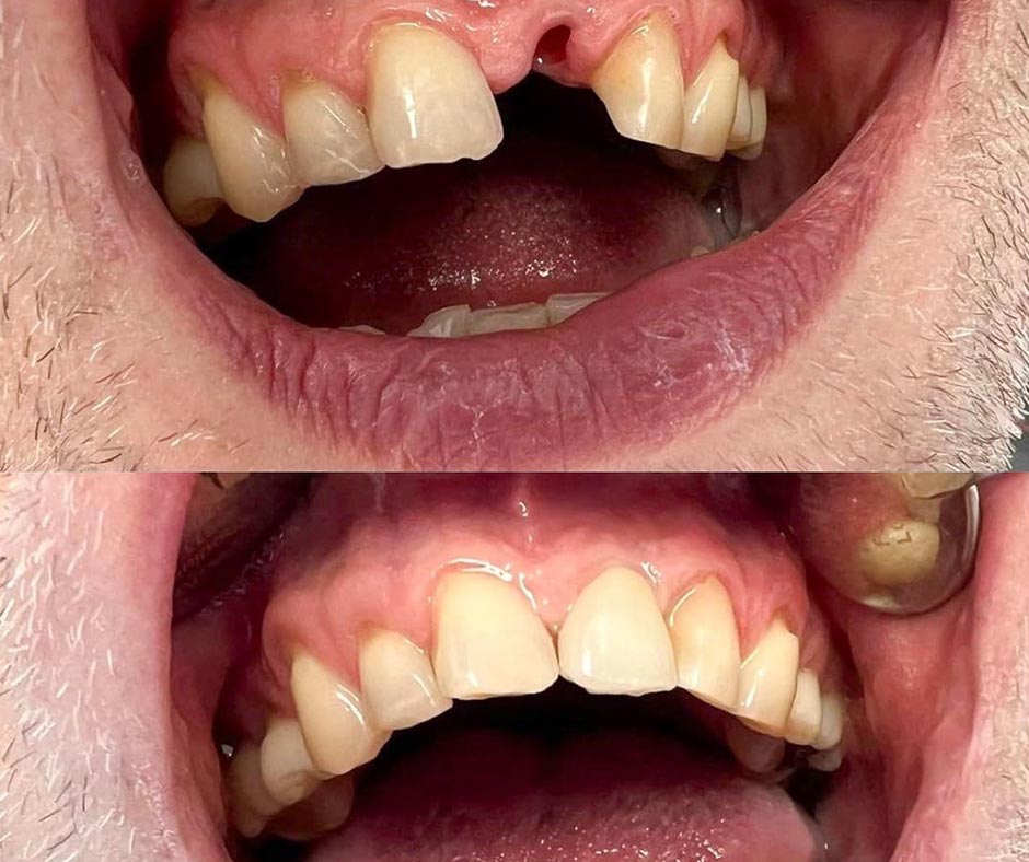
Naše práce – před a po





Zubní implantát – moderní řešení pro chybějící zuby
Zubní implantát je malý titanový nebo zirkonový šroub, který se zavádí do čelistní kosti v místě ztraceného zubu. Funguje jako umělý kořen zubu, na který se následně připevní zubní korunka, můstek nebo snímatelná náhrada.
Díky procesu zvanému osseointegrace, kdy implantát pevně sroste s kostí, je výsledné řešení velmi stabilní a funkční. Implantát obnovuje žvýkací funkci, podporuje výslovnost a zároveň stimuluje kostní tkáň, čímž pomáhá zabránit úbytku kosti a zachovat strukturu obličeje.Průběh ošetření – fáze implantace
Záruka
Záruka kvalitního a bezbolestného ošetření
Špičkové vybavení
Špičkové vybavení a úroveň ošetření
Komplexní péče
Komplexní péče pro naše pacienty
Ordinační doba
Široká ordinační doba včetně sobot
Smlouvy
Smlouvy se zdravotními pojišťovnami
Zubní laboratoř
Vlastní moderní zubní laboratoř
Lokalita
Výborná dopravní dostupnost
Služby recepce
Příjemné a klidné prostředí
Jazyky
Mluvíme více než pěti jazyky
Dostupnost
Máme krátké objednací lhůty
Náš tým

Oleg Ridchenko
Vedoucí zubní lékař
Přijímá pacienty
Smile Centrum Eliška
Smile Centrum Letňany
Smile Centrum Břevnov
Česky
Anglicky
Ukrajinsky
Rusky
Implantace
Keramické fazety
Protetika
Zubní korunky
Zubní můstky

Vladyslav Ridchenko
Vedoucí zubní lékař
Přijímá pacienty
Smile Centrum Eliška
Smile Centrum Břevnov
Česky
Anglicky
Ukrajinsky
Rusky
Implantace
Keramické fazety
Protetika
Stomatochirurgie
Zubní korunky
Zubní můstky

Olha Matyash
Vedoucí zubní lékařka
Přijímá pacienty
Smile Centrum Vysočany
Česky
Anglicky
Ukrajinsky
Rusky
Endodoncie
Implantace
Keramické fazety
Ošetření zubního kazu
Preventivní prohlídka
Protetika
Vstupní vyšetření
Zubní korunky
Zubní můstky
Výhody zubních implantátů
Objednejte se na konzultaci ještě dnes
Pomůžeme vám s návratem ke zdraví, funkčnímu chrupu, jistotě při každém soustu a sebevědomému úsměvu.
Vyplňte kontaktní formulář nebo nám zavolejte.Ceny za vstupní vyšetření
Administrativní poplatky
|
Administrativní výkon / výpis z karty |
550 Kč |
|
Zmeškaná nebo neomluvená návštěva (každých 30 min.) |
950 Kč |
|
Vstupní vyšetření včetně panoramatického rentgen snímku |
hrazeno ZP |
|
Preventivní prohlídka 2x ročně |
hrazeno ZP |
|
Vstupní vyšetření nepojištěného pacienta / bez nároku ZP |
1950 Kč |
|
Pohotovostní poplatek nepojištěného pacienta / bez nároku ZP |
950 Kč |
Rentgen – vyšetření
|
Vyhodnocení OPG a RTG snímku |
hrazeno ZP |
|
RTG intraoralní (pro samoplátce) - Zhotovení + vyhodnocení |
250 Kč |
|
OPG snímek (pro samoplátce) - Zhotovení + vyhodnocení |
890 Kč |
|
CBCT snímek kvadrant |
1190 Kč |
|
CBCT snímek 1 čelist |
1490 Kč |
|
CBCT snímek |
1790 Kč |
Anestezie
|
KCAN Konzultace - celková anestezie |
850 Kč |
|
CAN1/CAN2/CAN3 Celková anestezie pro děti malého rozsahu do 1 hodiny/ do 2 hodin/ každá další započatá hodina (zahrnuto ošetření všech dočasných zubů) |
15000 / 29500 / 5000 Kč |
|
CAND/CAN3 Celková anestezie pro dospěle (nezahrnuje cenu ošetření zubů) do 1 hodiny/ každá další započatá hodina |
10000 / 5000 Kč |
(*) cena včetně DPH 21%
Indikace a kontraindikace k ošetření zubními implantáty
Indikace (Kdy jsou implantáty vhodné?)
1. Náhrada jednotlivého zubu
2. Náhrada více zubů
3. Náhrada všech zubů v čelisti
4. Prevence úbytku čelistní kosti
5. Neschopnost nosit snímatelné náhrady
6. Zlepšení žvýkací funkce a estetiky
7. Dobrý celkový zdravotní stav
8. Dobrá ústní hygiena
9. Nerealistická očekávání pacienta
Kontraindikace (Kdy je třeba opatrnosti?)
1. Nedostatečná kvalita nebo objem kosti
2. Neléčená parodontitida
3. Nekontrolovaná závažná systémová onemocnění
4. Užívání některých léků
5. Aktivní onkologická léčba
6. Těhotenství
7. Závažné kuřáctví
8. Mladý věk
9. Neléčený bruxismus (skřípání zubů)
10. Zneužívání alkoholu nebo drog
Důležité upozornění: Tento seznam je obecný a orientační. Každý případ je unikátní a vyžaduje pečlivé individuální zhodnocení zubním lékařem nebo specialistou na implantologii. Mnoho z relativních kontraindikací lze úspěšně zvládnout nebo se jim dá předejít vhodnou přípravou. Vždy je klíčové sdělit Vašemu stomatologovi celou svou anamnézu a aktuální zdravotní stav, aby mohl zvolit ten nejbezpečnější a nejúčinnější plán léčby.
Reference klientů
Zubní implantáty časté otázky a odpovědi (FAQ)
Na této stránce zubní ordinace jsme pro vás připravili odpovědi na nejčastější dotazy našich pacientů. Pokud zde nenajdete, co hledáte, neváhejte nás kontaktovat.
Cena zubních implantátů se liší dle typu systému, počtu implantátů a rozsahu ošetření. U nás nabízíme dva osvědčené systémy:
-
pokročilá technologie AnyTime Loading
-
vysoká míra stability a úspěšnosti
-
ideální pro časné nebo okamžité zatížení
-
více než 30 let klinické praxe
-
100% biokompatibilní titan
-
vhodné i pro alergiky
-
vysoká pevnost a estetický výsledek
Přesnou cenu určí lékař během konzultace. Využíváme moderní plánování implantace na základě 3D snímků a nabízíme také možnost financování ošetření na splátky.
Ano, používáme více systémů. Výběr závisí na:
-
kvalitě a množství kosti
-
skusu a typu chrupu
-
estetických požadavcích
Rozhodnutí je vždy individuální na základě CBCT vyšetření.
Hodnocení Smile Centrum
Doporučuje nás 92% našich pacientů, kteří zanechávají recenze na nezávislých portálech a sociálních sítích. Klinika je nemůže ovlivnit, a proto jsou pro nás tak cenné.


