Neviditelná rovnátka
Neviditelná rovnátka Invisalign a Spark – moderní ortodontická léčba
Toužíte po krásném a zdravém úsměvu, ale nechcete nosit klasická rovnátka? Řešením jsou neviditelná rovnátka – estetická, pohodlná a téměř neviditelná varianta rovnání zubů. V naší klinice v Praze nabízíme léčbu pomocí nejmodernější technologie Invisalign a Spark, která je vhodná pro dospělé i děti.

Jak probíhá léčba Invisalign či Spark?
Vytvoříme individuální plán léčby.
Pravidelné kontroly přibližně každé 3 měsíce k vyhodnocení výsledků.
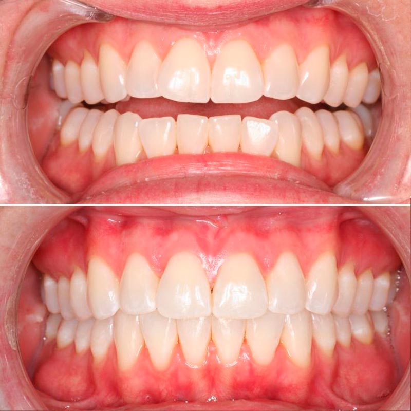
Naše práce – před a po



Co jsou neviditelná rovnátka Invisalign a Spark?
Neviditelná rovnátka Invisalign a Spark tvoří sada průhledných plastových alignerů vyrobených na míru pomocí 3D digitálního scanu. Tato rovnátka jemně a účinně posouvají zuby do požadované polohy bez použití kovových drátků. Díky tomu je léčba pohodlná, naprosto estetická a vhodná i pro náročné pacienty.
Výhody neviditelných rovnátek
Téměř neviditelná při běžném kontaktu.
Méně návštěv v ordinaci – kontroly obvykle každé 3 měsíce.
Pro koho jsou vhodná?
Záruka
Záruka kvalitního a bezbolestného ošetření
Špičkové vybavení
Špičkové vybavení a úroveň ošetření
Komplexní péče
Komplexní péče pro naše pacienty
Ordinační doba
Široká ordinační doba včetně sobot
Smlouvy
Smlouvy se zdravotními pojišťovnami
Zubní laboratoř
Vlastní moderní zubní laboratoř
Lokalita
Výborná dopravní dostupnost
Služby recepce
Příjemné a klidné prostředí
Jazyky
Mluvíme více než pěti jazyky
Dostupnost
Máme krátké objednací lhůty
Náš tým

Anastasiia Kolyshkina
Zubní lékařka
Přijímá pacienty
Smile Centrum Eliška
Česky
Anglicky
Ukrajinsky
Rusky
Ortodoncie

Katarína Dobošová
Zubní instrumentářka
Asistuje lékaři
Smile Centrum Eliška
Česky
Profesionální asistence u stomatologických výkonů
Sterilizace a příprava nástrojů podle přísných postupů
Příprava ordinace a materiálů
Péče o pacienta před, během i po ošetření
Podrobnosti

Veronika Češková
Zubní instrumentářka
Asistuje lékaři
Smile Centrum Eliška
Česky
Profesionální asistence u stomatologických výkonů
Sterilizace a příprava nástrojů podle přísných postupů
Příprava ordinace a materiálů
Péče o pacienta před, během i po ošetření
Podrobnosti
Proč si vybrat naši kliniku?
Objednejte se ještě dnes
Objednejte se na vstupní vyšetření a zjistěte, v jakém stavu je váš chrup. Náš tým zkušených zubních lékařů vám pomůže sestavit plán pro dlouhodobé zdraví vašich zubů.
Ceník neviditelných rovnátek
Cena a možnosti financování
Cena neviditelných rovnátek se liší dle složitosti případu a délky léčby. Základní léčebný plán začíná od 28990 Kč. Nabízíme možnost měsíčních splátek od společnosti zdravijezivot.cz.
Podrobný ceník vám rádi zašleme po konzultaci.
|
Kovový fixní aparát |
od 27900 Kč |
|
Neviditelná rovnátka Spark |
od 28990 Kč |
(*) cena včetně DPH 21%
Indikace a kontraindikace k ošetření neviditelnými rovnátky (alignery)
Indikace (Kdy jsou neviditelná rovnátka vhodná?)
1. Mírné až střední ortodontické anomálie
2. Estetické požadavky
3. Pacienti s dobrou ústní hygienou
4. Alergie na kovy
5. Komfort a menší podráždění
6. Závěrečné doladění po fixních rovnátkách
7. Dospělí a zodpovědní teenageři
8. Určité orální návyky (relativní)
Kontraindikace (Kdy je třeba opatrnosti?)
1. Závažné ortodontické vady
2. Nedostatečná spolupráce pacienta
3. Neléčená parodontitida
4. Špatná ústní hygiena a neléčené kazy
Důležité upozornění: Tento seznam je obecný a orientační. Rozhodnutí o vhodnosti neviditelných rovnátek (alignerů) vždy závisí na pečlivém individuálním vyhodnocení Vašeho ortodontistou na základě komplexní diagnostiky. Vždy je klíčové sdělit specialistovi celou svou anamnézu a aktuální zdravotní stav, aby mohl zvolit ten nejbezpečnější a nejúčinnější plán léčby.
Reference klientů
Neviditelná rovnátka časté otázky a odpovědi (FAQ)
Na této stránce zubní ordinace jsme pro vás připravili odpovědi na nejčastější dotazy našich pacientů. Pokud zde nenajdete, co hledáte, neváhejte nás kontaktovat.
Cena závisí na typu vady a délce léčby. Orientačně od 28990 Kč. Nabízíme možnost platby na splátky.
Ano, existuje speciální varianta Invisalign First určená pro děti od cca 7 let.
Hodnocení Smile Centrum
Doporučuje nás 92% našich pacientů, kteří zanechávají recenze na nezávislých portálech a sociálních sítích. Klinika je nemůže ovlivnit, a proto jsou pro nás tak cenné.


