Odstranění zubního kazu
Ošetření zubního kazu: moderní, bezbolestné a profesionální.
Zubní kaz je nejčastější onemocnění zubů, které může způsobit nejen estetické problémy, ale i bolest a závažné komplikace. V naší zubní ordinaci Smile Centrum Praha nabízíme bezbolestné ošetření zubního kazu pomocí nejmodernějších technologií, šetrných metod a kvalitních výplní. Naše profesionální stomatologie se zaměřuje na zachování přirozeného zubu, funkci chrupu a krásu vašeho úsměvu.

Jak probíhá léčba zubního kazu?
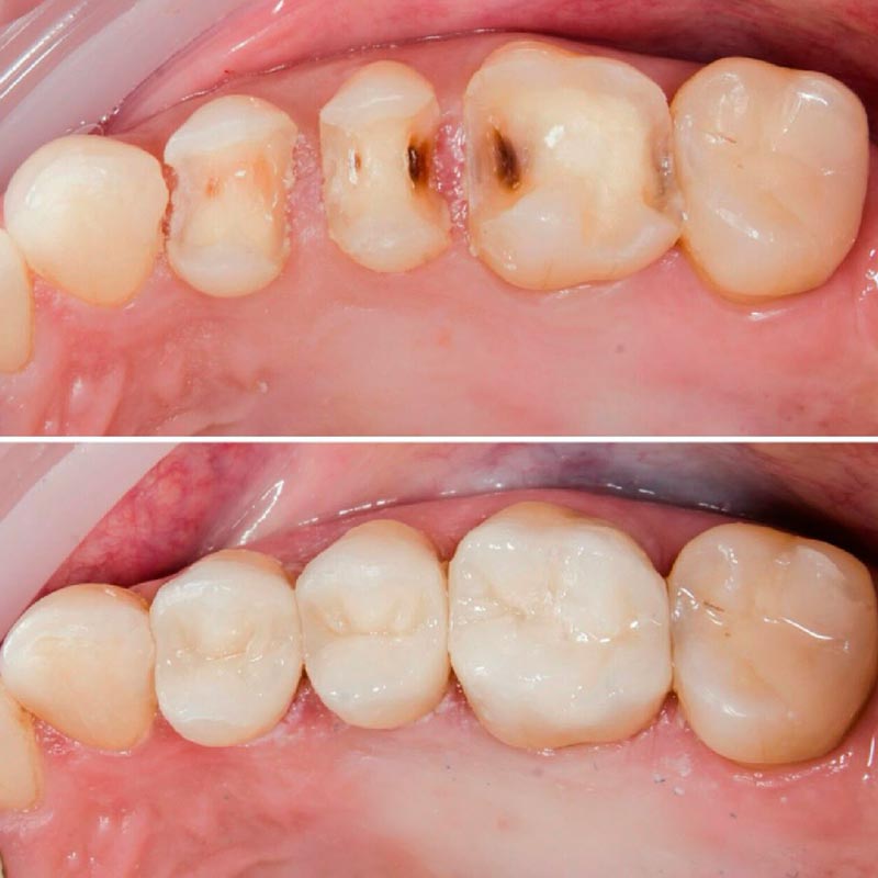
Naše práce – před a po



Jak rozpoznat zubní kaz a jaká je prevence a léčba?
Počínající kaz se často projeví zvýšenou citlivostí na sladké, studené nebo teplé, případně bolestí při žvýkání. Hluboký kaz už může způsobovat výraznou bolest zubu a postihnout i zubní dřeň, což vyžaduje odborné ošetření a endodoncii (léčbu kořenových kanálků).
Nejčastěji se zubní kaz vyskytuje na zadních zubech (stoličkách), kde je horší přístup při čištění zubů. Proto je důležitá pravidelná dentální hygiena, správná technika čištění zubů, používání kvalitních past s fluoridem a pravidelná preventivní prohlídky u stomatologa.Ošetření hlubokého kazu – léčba kořenových kanálků
Pokud kaz zasáhne zubní dřeň, je nutné provést endodoncii. Léčba kořenových kanálků spočívá v odstranění poškozené dřeně, dezinfekci kanálků a jejich vyplnění speciálním materiálem. Po tomto ošetření doporučujeme zhotovení korunky, která zajistí dlouhodobé zachování zubu.
Záruka
Záruka kvalitního a bezbolestného ošetření
Špičkové vybavení
Špičkové vybavení a úroveň ošetření
Komplexní péče
Komplexní péče pro naše pacienty
Ordinační doba
Široká ordinační doba včetně sobot
Smlouvy
Smlouvy se zdravotními pojišťovnami
Zubní laboratoř
Vlastní moderní zubní laboratoř
Lokalita
Výborná dopravní dostupnost
Služby recepce
Příjemné a klidné prostředí
Jazyky
Mluvíme více než pěti jazyky
Dostupnost
Máme krátké objednací lhůty
Náš tým

Olha Matyash
Vedoucí zubní lékařka
Přijímá pacienty
Smile Centrum Vysočany
Česky
Anglicky
Ukrajinsky
Rusky
Endodoncie
Implantace
Keramické fazety
Ošetření zubního kazu
Preventivní prohlídka
Protetika
Vstupní vyšetření
Zubní korunky
Zubní můstky

Serhii Marikutsa
Vedoucí zubní lékař
Přijímá pacienty
Smile Centrum Holešovice
Česky
Ukrajinsky
Rusky
Endodoncie
Implantace
Keramické fazety
Ošetření zubního kazu
Preventivní prohlídka
Protetika
Stomatochirurgie
Vstupní vyšetření
Zubní korunky
Zubní můstky

Sergii Klanovets
Vedoucí zubní lékař
Přijímá pacienty
Smile Centrum Horní Počernice
Česky
Anglicky
Ukrajinsky
Rusky
Endodoncie
Keramické fazety
Ošetření zubního kazu
Preventivní prohlídka
Protetika
Vstupní vyšetření
Zubní korunky
Zubní můstky
Výplňové materiály: které jsou nejlepší?
Prevence zubního kazu a péče o ústní hygienu
Ceny za vstupní vyšetření
Administrativní poplatky
|
Administrativní výkon / výpis z karty |
550 Kč |
|
Zmeškaná nebo neomluvená návštěva (každých 30 min.) |
950 Kč |
|
Vstupní vyšetření včetně panoramatického rentgen snímku |
hrazeno ZP |
|
Preventivní prohlídka 2x ročně |
hrazeno ZP |
|
Vstupní vyšetření nepojištěného pacienta / bez nároku ZP |
1950 Kč |
|
Pohotovostní poplatek nepojištěného pacienta / bez nároku ZP |
950 Kč |
Rentgen – vyšetření
|
Vyhodnocení OPG a RTG snímku |
hrazeno ZP |
|
RTG intraoralní (pro samoplátce) - Zhotovení + vyhodnocení |
250 Kč |
|
OPG snímek (pro samoplátce) - Zhotovení + vyhodnocení |
890 Kč |
|
CBCT snímek kvadrant |
1190 Kč |
|
CBCT snímek 1 čelist |
1490 Kč |
|
CBCT snímek |
1790 Kč |
(*) cena včetně DPH 21%
Indikace a kontraindikace k ošetření odstranění zubního kazu
Indikace (Kdy je ošetření vhodné?)
1. Diagnostikovaný zubní kaz
2. Citlivost na studené/teplé/sladké
3. Bolest zubu
4. Poškozené nebo netěsnící výplně
5. Estetické požadavky
6. Prevence šíření kazu
7. Zlomený nebo naštípnutý zub
Kontraindikace (Kdy je třeba opatrnosti?)
1. Příliš rozsáhlá destrukce zubu
2. Zasažení zubní dřeně nevratným zánětem (pulpitida) nebo nekrózou
3. Akutní nekontrolovaný absces nebo otok
4. Akutní celkové infekční onemocnění
5. Nekontrolovaná systémová onemocnění
6. Alergie na použité materiály nebo anestetika
7. Těžká dentální fobie / úzkost
Důležité upozornění: Tento seznam je obecný a orientační. Každý případ je unikátní a vyžaduje pečlivé zhodnocení zubním lékařem. Vždy je klíčové sdělit Vašemu stomatologovi celou svou anamnézu a aktuální zdravotní stav, aby mohl zvolit ten nejbezpečnější a nejúčinnější plán léčby.
Reference klientů
Odstranění zubního kazu časté otázky a odpovědi (FAQ)
Na této stránce zubní ordinace jsme pro vás připravili odpovědi na nejčastější dotazy našich pacientů. Pokud zde nenajdete, co hledáte, neváhejte nás kontaktovat.
Zubní kaz se může projevit citlivostí zubu na sladké, studené nebo teplé, bolestí zubu nebo viditelným tmavým místem. Počínající kaz často není vidět pouhým okem, proto je důležitá preventivní prohlídka a digitální diagnostika v zubní ordinaci.
Pokud kaz zasáhne dřeň zubu, je nutné provést endodoncii – léčbu kořenových kanálků, aby se zub zachoval. Tento zákrok provádí stomatolog v rámci specializované péče.
Hodnocení Smile Centrum
Doporučuje nás 92% našich pacientů, kteří zanechávají recenze na nezávislých portálech a sociálních sítích. Klinika je nemůže ovlivnit, a proto jsou pro nás tak cenné.


