Dentální hygiena
Dentální hygiena tvoří základ moderní stomatologie i dlouhodobého zdraví ústní dutiny. Správně prováděná hygiena pomáhá chránit zuby i dásně a zabraňuje vzniku zubního kazu, zánětu dásní či parodontózy. Pravidelné profesionální čištění zubů je účinnou prevencí, jak si dlouhodobě udržet zdravý chrup a krásný úsměv.
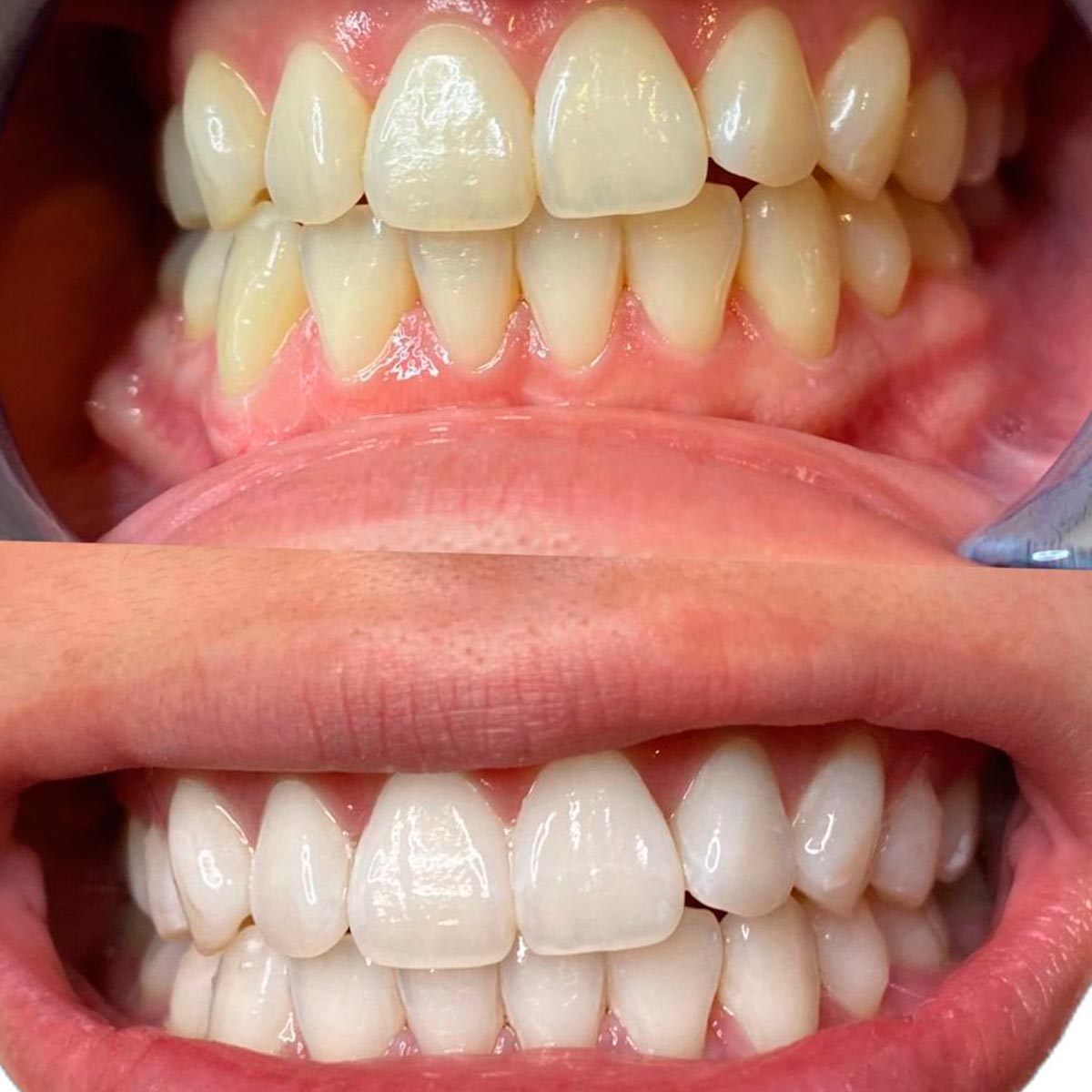
Během dentální hygieny dochází k odstranění zubního kamene, plaku a pigmentací, které se usazují na povrchu zubů vlivem potravin, kávy, čaje nebo kouření. Tyto nečistoty mohou přispět ke vzniku zánětu dásní a parodontitidy. Naši odborníci používají moderní technologie jako je ultrazvuk, ruční nástroje nebo metoda Airflow (Air Flow), která pomocí směsi vody, vzduchu a jemného prášku efektivně čistí i nejhůře dostupná místa.

Jak probíhá profesionální dentální hygiena v naší ordinaci?
Úvodní konzultace a zhodnocení stavu
- Příjem a anamnéza: Na začátku každé návštěvy si projdeme Váš aktuální zdravotní stav a případné změny (užívání léků, alergie). Ujistíme se, zda nemáte nějaké nové potíže nebo citlivá místa, na která je potřeba dát pozor.
- Vyšetření a diagnostika: Dentální hygienistka provede pečlivé vyšetření stavu Vašich dásní, zubů a sliznice. Zhodnotí množství zubního plaku a kamene, krvácivost dásní a určí tzv. indexy ústní hygieny. Někdy se používá i intraorální kamera pro lepší vizualizaci a pochopení stavu.
Odstranění zubního kamene a plaku
- Ultrazvukové odstranění zubního kamene: Pomocí šetrného ultrazvukového přístroje se efektivně odstraní velká část tvrdého zubního kamene z povrchu zubů i z mezizubních prostor. Proces je rychlý a minimalizuje nepříjemné pocity.
- Ruční dočištění: Speciálními ručními nástroji (kyretami a srpy) se odstraní zbytky zubního kamene, zejména z těžko dostupných míst pod dásněmi a z krčků zubů, kde je ultrazvuk méně efektivní.
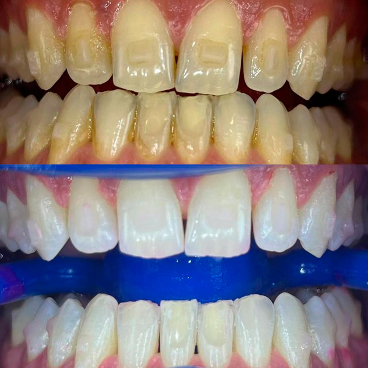
- Leštění zubů: Po odstranění kamene a plaku se zuby vyleští speciálními pastami a rotačními kartáčky nebo leštícími gumičkami. Hladký povrch je méně náchylný k usazování nového plaku a pigmentací.
Odstranění pigmentací (Air-flow / Pískování)
- Pískování (Air-flow): K odstranění vnějších pigmentací od kávy, čaje, červeného vína či kouření se používá moderní metoda pískování. Jemný prášek (např. na bázi erythritolu) smíchaný s vodou a vzduchem šetrně, ale účinně odstraňuje zabarvení, a navrací zubům jejich přirozený odstín.
Individuální instruktáž a edukace
- Ukázka správné techniky čištění: Klíčovou součástí dentální hygieny je edukace. Hygienistka Vám ukáže a procvičí s Vámi správnou techniku čištění zubů klasickým i mezizubním kartáčkem a zubní nití. Doporučí Vám vhodné pomůcky na míru Vašim individuálním potřebám.
- Doporučení dalších produktů: Poradíme Vám s výběrem správné zubní pasty, ústní vody a dalších doplňků ústní hygieny.
Fluoridace a prevence citlivosti
- Fluoridace (dle potřeby): Na závěr ošetření se na zuby aplikuje fluoridový gel nebo lak. Fluoridy posilují zubní sklovinu, činí ji odolnější vůči kyselinám a pomáhají snižovat citlivost zubů po ošetření.
Shrnutí a plánování další péče
- Doporučení pro domácí péči: Obdržíte instrukce, jak se starat o zuby v prvních hodinách a dnech po hygieně, a jak efektivně udržovat dosažené výsledky.
- Stanovení intervalu návštěv: Společně naplánujeme interval Vašich dalších preventivních návštěv u dentální hygienistky (obvykle 2x ročně, ale může se lišit).
Naše práce – před a po



Co vše zahrnuje naše dentální hygiena
Součástí návštěvy je také vstupní vyšetření, při kterém hygienistka zkontroluje stav dásní, přítomnost plaku, zubního kamene a případné známky zánětu nebo jiného onemocnění. Na základě tohoto vyšetření následně sestaví individuální léčebný plán.
Zdravý úsměv začíná prevencí. Proto doporučujeme navštěvovat dentální hygienu pravidelně, ideálně dvakrát ročně. Čisté zuby, zdravé dásně a správně provedená domácí péče pomocí kvalitního kartáčku a vhodných pomůcek pomohou předejít komplikacím a udržet chrup v perfektním stavu.
Záruka
Záruka kvalitního a bezbolestného ošetření
Špičkové vybavení
Špičkové vybavení a úroveň ošetření
Komplexní péče
Komplexní péče pro naše pacienty
Ordinační doba
Široká ordinační doba včetně sobot
Smlouvy
Smlouvy se zdravotními pojišťovnami
Zubní laboratoř
Vlastní moderní zubní laboratoř
Lokalita
Výborná dopravní dostupnost
Služby recepce
Příjemné a klidné prostředí
Jazyky
Mluvíme více než pěti jazyky
Dostupnost
Máme krátké objednací lhůty
Náš tým

Gabriela Kramárová
Dentální hygienistka
Přijímá pacienty
Smile Centrum Vinohrady
Česky
Anglicky
Bělení zubů
Dentalní hygiena

Tereza Novotná
Dentální hygienistka
Přijímá pacienty
Smile Centrum Letňany
Česky
Anglicky
Bělení zubů
Dentalní hygiena

Nikola Chmelíková
Dentální hygienistka
Přijímá pacienty
Smile Centrum Horní Počernice
Česky
Bělení zubů
Dentalní hygiena
Technologie Airflow
Moderní metoda Air Flow je vhodná pro citlivé zuby i odstranění pigmentací. Pomáhá odstranit plak z těžko přístupných míst, zajišťuje hladký povrch zubů a přispívá k celkové ochraně chrupu. Tuto technologii používáme v rámci profesionální péče na všech našich klinikách, ne jen v Praze.
Objednejte se ještě dnes
Objednejte se na dentální hygienu online nebo telefonicky. Náš tým odborníků vám poskytne šetrné a profesionální ošetření v příjemném prostředí naší zubní ordinace ne jen v Praze.
Ceník dentální hygieny
Zubní hygiena a bělení zubů
|
Kompletní dentální hygiena |
1990 Kč |
|
Hloubkové / detailní čištění 1 čelist |
3990 Kč |
|
Ordinační bělení zubů BlancOne (CLICK) |
1500 Kč |
|
Ordinační bělení zubů BlancOne (TOUCH) |
3800 Kč |
|
Domácí bělení zubů (4 bělící gely, nosiče pro HČ a DČ, krabička) |
4900 Kč |
|
Ordinační bělení |
7900 Kč |
|
Kombinované bělení |
11900 Kč |
(*) cena včetně DPH 21%
Indikace a kontraindikace k profesionální dentální hygieně
Indikace (Kdy je ošetření vhodné?)
1. Pravidelná prevence
2. Krvácení dásní, záněty (gingivitida)
3. Zubní kámen a pigmentace
4. Zápach z úst (halitóza)
5. Příprava před stomatologickými zákroky
6. Parodontitida
7. Zhoršená ústní hygiena
Kontraindikace (Kdy je třeba opatrnosti?)
1. Akutní celkové infekce
2. Akutní rozsáhlý zánět dásní nebo parodontu
3. Bezprostředně po operaci v dutině ústní
4. Těžká nekontrolovaná systémová onemocnění
5. Užívání antikoagulancií (léky na ředění krve)
6. Radioterapie nebo chemoterapie v oblasti hlavy a krku
7. Silná dentální fobie / úzkost
Důležité upozornění: Tento seznam je obecný a nenahrazuje individuální konzultaci s Vaší dentální hygienistkou nebo zubním lékařem. Vždy je klíčové sdělit specialistovi celou svou anamnézu a aktuální zdravotní stav, aby mohl zvolit ten nejbezpečnější a nejúčinnější postup.
Reference klientů
Dentální hygiena – Často kladené otázky (FAQ)
Na této stránce zubní ordinace jsme pro vás připravili odpovědi na nejčastější dotazy našich pacientů. Pokud zde nenajdete, co hledáte, neváhejte nás kontaktovat.
Zuby je potřeba čistit minimálně dvakrát denně, ráno a večer, nejlépe však po každém jídle. Používejte měkký zubní kartáček s rovnou plochou štětinek a pastu doporučenou dentální hygienistkou. Mezizubní prostory čistěte jednou denně pomocí mezizubních kartáčků a dentální nitě. Důležitá je i správná technika čištění – netlačte, ale čistěte jemně a důkladně.
V závislosti na stavu chrupu přibližně 45 až 60 minut.
Hodnocení Smile Centrum
Doporučuje nás 92% našich pacientů, kteří zanechávají recenze na nezávislých portálech a sociálních sítích. Klinika je nemůže ovlivnit, a proto jsou pro nás tak cenné.


